守卫健康,中医药在行动系列——《邓大爷的故事》
2021年1月20日上午,精神的邓大爷热情的和医护人员打招呼,因为今天邓大爷出院了。回想起10日前邓大爷住院时的模样,真的判若两人,故事还得从头说起。
邓大爷今年78岁,地道的南昌人,2019年12月无明显诱因出现乏力疲劳,右侧睾丸肿大,无疼痛红肿,2020-04-10就诊于省三甲医院,住院期间行右侧睾丸切除术,病理结果:睾丸弥漫大B细胞淋巴瘤,(睾丸病理:CD20(+),CD79a(+),CD30(-),CD3(-),CD10(-),Bcl-2(+),Bcl-6(-),Mum-1(+),ALK(-),CyclinD-1(-),PLAP(-),OCT4(-),SALL4(-),CD117(-),AFP(-),CK(-),CK7(-),a-inhibin(-),CK19(-),D2-40(-),Vimentin(+),Desmin(-),LCA(-),ki-67约85%(+)。因全身唯一病灶被切除,邓大爷初起拒绝化疗,可好景不长,2020年10月起邓大爷再次出现疲劳乏力,伴腰背部疼痛,呈进行性加重,痛的难以挺直身躯,体重也下降了不少。
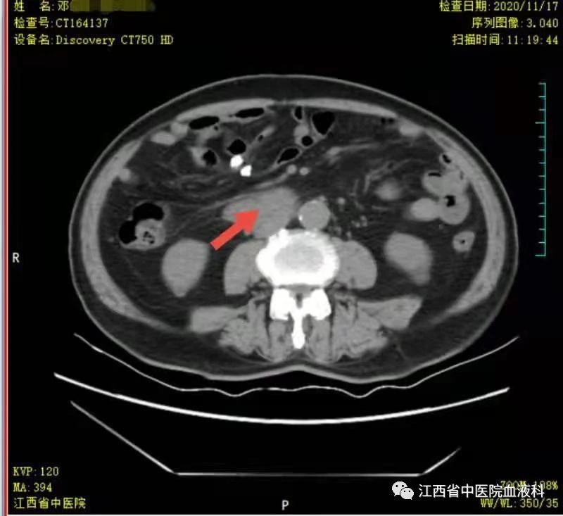
2020年10月中旬邓大爷在家人的陪同下来我科就诊,全腹部增强CT提示:右侧睾丸切除术后复查:1.腹膜后(胰头后下方)、双侧肾上腺区团块状异常强化影。2.肝左内叶上段小囊肿,双肾小囊肿,较前相仿。3.右侧腹股沟前方、皮下条索、小片影,境界不清,较前减小,拟为术后改变。4.右下腹腔少许钙化淋巴结,较前相仿。因病情危急,考虑邓大爷高龄、体能差、窦性心动过缓(平均心率50次/分)心脏功能差等情况,经讨论于2020-10-24起第一次行减剂量方案R-miniCHOP(利妥昔单抗700mg d0、环磷酰胺700mg d1、多柔比星40mg d1、长春瑞滨20mg d1、地塞米松10mg d1-5)方案。第一次化疗后评估病情,腹腔瘤体缩小了2/3,取得了很好的治疗效果,可邓大爷心脏却亮起了红灯,经过了积极护心等支持治疗后,大爷心脏功能有所恢复。遂于2020-11-19、2020-12-10行2次R-miniCOP方案(去除了具有心脏毒性的多柔比星),三次化疗结束后予评估病情,提示腹腔包块明显缩小,淋巴瘤病情有所好转。




可是邓大爷却总提不起劲,像打了霜的茄子。精神软,全身乏力,口苦口干,夜间冷汗出,汗出湿衣,静息时无胸闷心慌,一活动就气喘胸闷心慌,就连平路走或爬个2楼都大喘粗气,食欲不振,夜尿频数,大便溏结不调,状态似乎回到了治疗前。我们予仔细体格检查后,发现邓大爷的心率明显偏慢,大概45次/分左右,律不齐,可及早搏频发,测量血压95/48mmHg(较基础值明显偏低),舌质暗淡,苔白,脉细偏涩不受按。
辅助检查:动态心电图示:1.窦性心动过缓,时呈窦房游走节律;2.频发房性早搏,偶见未下传,部分伴完全性左束支传导阻滞(3相阻滞),时呈二联律、三联律,短阵房速;3.偶发室性早搏,可见成对;4.交界性逸搏;5.部分时间ST段改变;6.心率变异性明显增高。心脏彩超:1.左心增大,二尖瓣微量反流;2.左室舒张功能减退;3.主动脉弹性降低,主动脉瓣轻度钙化并微少量反流。胸部CT:双肺CT平扫未见明显异常。主动脉、冠脉粥样硬化表现。肝内小囊性灶。
邓大爷自青年时期就心动过缓,但因平素身体素质较好,一直没啥不适,医生告诉他要动态观察监测,他也没在意。可是这个年轻时埋下的隐患,现在就爆发了。科室团队经过详细询问病史、查体及相关检查检验前后对比,一致认为此次的乏力不适与邓大爷的心脏问题密切相关。
经过讨论,目前当务之急应当予顾护心脏治疗为主,化疗暂缓。经过详细的望闻问切,四诊合参,中医辨病属祖国医学“心悸病”范畴,辨证为“心阳不振,心失所养证”。病性在本为虚,病位主在心、脾、肾,患者年老年高龄阳气不足,加之化疗药毒伤正,更耗损心阳,阳损及阴,精血不生,心失所养,故见疲劳乏力、动则胸闷心慌气喘、夜寐冷汗出等症。
对邓大爷的病情深刻、精准剖析后,我们辨证施治,治则予补中益气,补血养心为主,方选补中益气汤加减。并辅以本科中医特色外治法中药熏药治疗、穴位贴敷等治疗,穴选心腧、肺俞、脾腧、肾腧、足三里、神门、内关、至阳等穴以提高心、脾、肾脏腑阳气机能。经过中西医结合治疗一疗程,标本兼顾,邓大爷的心率提升至55次/分,血压恢复至120/65mmHg,心功能明显好转,头晕乏力、胸闷心悸等症状也一一改善,邓大爷脸上再次露出会心的笑容,也为下次化疗做好准备。
老年恶性血液病患者,30%以上合并心、肝、肾等脏器疾病。随着老年患者生理功能明显下降,药物代谢和清除能力下降,在体内的毒性风险相应增加,尤其是合并有脏器功能不全的老年患者,脏器的毒副作用会明显增加。那么,如何为老年患者的健康保驾护航呢?
中医药可以堪当使命!中医药,具有悠久历史传统和独特理论及技术方法的医药学体系,反映了中华民族对生命、健康和疾病的认识。中医学以阴阳五行作为理论基础,将人体看成是气、形、神的统一体,通过望、闻、问、切,四诊合参的方法,探求病因、病性、病位、分析病机及人体内脏腑、经络、卫气营血的变化、判断邪正消长,归纳出证型,以辨证论治原则,制定治法,使用中药、艾灸、针灸、推拿、按摩、拔罐、气功、食疗等多种治疗手段,使人体达到阴阳调和而康复。
中医药一方面在于协助恢复人体的阴阳平衡,另一方面当必须使用药物来减缓疾病恶化时,能固护正气,防止邪去正伤,提高患者生命与生活的品质。结合血液专科特点,本科常规予西医药治疗同时,因时、因地、因人制宜,以人为本,辨证施治,灵活运用中医药及专科特色外治法,发挥中医药特色优势,保障人民群众身体健康,中医药在行动!
专家介绍
吴敏,医学硕士,主治中医师,中华中医药学会血液病分会青年委员,中国民族医药学会血液病分会理事,江西省研究型医院学会血液病分会青年委员,江西省抗癌协会淋巴瘤专业委员会青年委员等。
擅长中西医结合诊治血液肿瘤如白血病、骨髓增生异常综合征、淋巴瘤、多发性骨髓瘤等;贫血性疾病如再生障碍性贫血、缺铁性贫血、巨幼细胞性贫血等;出血与血栓性疾病如血小板减少症、血友病等及溶血性疾病等各类血液疾病;还擅治糖尿病及急、慢性并发症、甲状腺功能减退、亢进、代谢综合征、痛风等各类内分泌代谢疾病。

赣公网安备 36010202000449号