季节更替,谨防髋部骨折:中老年人需关注这些细节
随着秋冬交替,气温骤降,我院关节骨科第二治疗组近期接诊了多例中、老年髋部骨折病例,尤其是老年患者术后再摔伤的情况有所增加。髋部骨折不仅威胁患者生命安全,还会显著降低生活质量,特别是摔倒是诱发髋部骨折的主要原因。因此,预防中老年人摔倒是减少髋部骨折最有效的方式。
今天,我们通过近一周内接诊的三个典型案例,向大家讲解髋部骨折的发生原因、治疗难点及预防建议,希望帮助更多人提高防护意识。
案例一:82岁女性术后再摔伤
患者情况:熊奶奶,一个月前在我院因右髋骨折接受髓内针内固定术,术后康复中因不慎摔倒,再次出现右髋部疼痛并活动受限。经检查,确诊为股骨骨折。患者伴有帕金森病和高血压,身体状况较差。





摔倒原因分析:
术后康复期内,下肢肌力不足;
气温降低,衣物增厚,导致活动灵活性下降。
预防建议:
加强肌肉力量训练,提升下肢稳定性;
室内适当提高温度,减少厚重衣物对活动的影响;
康复期间家属应专人陪护,卫生间等区域增加防滑设施。
案例二:51岁男性意外摔伤
患者情况:吴先生因路面湿滑不慎摔倒,导致右髋部疼痛并活动受限,经检查确诊为股骨粗隆间骨折。






治疗难点:
1.骨折部位解剖重建的准确性;
2.内固定材料的选择及固定强度的保障。




摔倒原因分析:
气温骤降,衣物增多限制身体活动灵活性,中年患者身体未完全适应季节变化。
预防建议:
选择保暖性好、贴身性佳的冬季衣物,避免过于厚重;
冰雪路面尽量避免外出或穿戴防滑鞋。
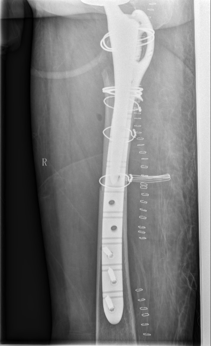
案例三:59岁女性假体周围骨折
患者情况:吴女士,5年前曾在我院接受人工髋关节置换术,近日因在家中地板湿滑处摔倒,导致假体周围骨折。






治疗难点:
1.摔伤后需评估假体是否松动;
2.根据术前影像分析,假体内侧透亮线提示松动迹象,但近端固定型股骨柄在发生骨折后,骨折线的形态与骨折块 移位的方式则提示假体并未松动,需术中进一步判断;
3.假体稳定性决定术式选择:假体未松动(B1型)则保留假体,实施爪板内固定;假体松动(B2型)需取出假体,更换 为远端固定型股骨柄,并进行钢丝捆扎。
4.针对手术方案的复杂性与不确定性,需要与患者及家属充分沟通,明确术中可能面临的风险,并取得他们的理解与 信任,才能为手术顺利实施奠定基础。
5. 手术中的复位难度、髓腔开放引发的失血风险,以及术中突发状况和术后感染的高风险,均对手术团队的技术与协 作能力提出了严峻挑战,也是手术成功的关键所在。



摔倒原因分析:
假体置换术后骨骼质量较差,轻微外伤即可导致复杂的假体周围骨折;
寒冬季节衣物厚重,灵活性降低,增加摔倒风险。
预防建议:
加强下肢力量训练,增强抗摔倒能力;
提升室内温度,减少室内衣物厚度;
家中卫生间、走廊等重点区域铺设防滑垫,降低滑倒可能性。
多学科团队协作,确保最佳治疗效果
这些案例的成功治疗充分体现了江西中医药大学附属医院(江西省骨伤医院)强大的综合实力与多学科协作能力。在骨伤医院院长梁卫东、骨伤一科(关节骨科)科室主任王力的指导,有赖于盛建洋、涂远智组内医师团队以及关节科全体同事的通力配合,以精湛技术确保手术的成功。此外,麻醉科、内科、手术室护理团队提供了无缝衔接的支持,协同保障手术过程的安全与高效。这种多学科协作模式不仅展现了医院整体的技术水平与服务能力,也为患者提供了全方位的优质医疗保障。

温馨提示:预防胜于治疗
髋部骨折对中老年患者的生活质量影响深远。寒冷季节,中老年人及其家属需特别关注防摔措施,如有意外发生,请及时到正规医院就医。

梅鸥,江西中医药大学附属医院关节骨科(骨伤一科)副主任中医师,博士,硕士研究生导师,美国芝加哥大学访问学者,全国第六批名老中医学术继承人,江西省中西医结合学会骨伤专业委员会委员兼秘书,江西省中医骨伤学会委员,江西康复养生协会委员,江西省医学会第八届骨科分会青年委员会委员。尤其是擅长股骨头坏死、膝关节骨关节炎、痛风性关节炎、强直性脊柱炎、近关节部位骨折后创伤性关节炎、颈肩腰腿痛等骨科常见疾病以及关节科疑难杂症的中西医结合治疗。
骨伤一科梅鸥副主任门诊坐诊时间
东湖院区:周二下午,周五上午(5号楼2楼218专家诊室)
东湖院区地址:江西省南昌市东湖区八一大道445号。