肿瘤患者如何吃?
江西省中医肿瘤质量控制中心成立大会暨第一次专家委员会
热烈祝贺江西省中西医结合学会肿瘤康复专委会成立及第一次学术年会召开
上海中医药大学附属龙华医院李鑫专家于我科长期坐诊并指导工作
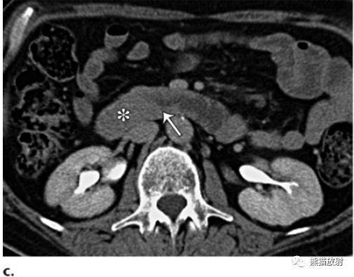
什么是十二指肠癌?
胃癌MDT多学科会议定期召开
肿瘤科成为第四批国家区域医疗中心重点建设科室
我科成为省中医肿瘤质控中心挂靠单位
上海龙华医院放疗专家方庆亮于我科交流学习
肿瘤科已搬至二号楼7楼
我科实行肺肿瘤冷消融术
恶心,呕吐-关于化疗后常见不良反应的事儿
交通指南
门诊须知
急诊须知
医保流程
门诊排班
挂号缴费
回到顶部